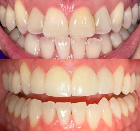
Porcelain Crowns
BEFORE
The patient needs Upper Arch Rehabilitation. Presents with Upper Anterior teeth that are stained, incisal edges (tooth edge) are worn down and chipped, and gumline recession is present.
AFTER
Placement of veneers and all porcelain crowns to restore her natural smile.
Dental Implants
BEFORE
The patient needs a single tooth replacement of one upper central incisor.
AFTER
Smile and function restored with a Single Implant and an all-porcelain crown (cap) that fits securely over the implant.
Cosmetic Bonding
BEFORE
The patient had teeth that were stained and out of alignment and wanted to brighten and straighten the smile.
AFTER
Cosmetic bonding was done using tooth colored filling material to re-shape and straighten the the teeth. No anesthetic or tooth removal was needed to achieve a beautiful new smile!
Dentures
BEFORE
Implants placed to retain a new upper denture made without plastic covering the palate.
AFTER
New denture with natural appearing smile and shade
